CAN(@canchemistry)さんの人気ツイート(新しい順)

226
@hiroyoshimura 大阪府知事殿 大阪府は第4波だけで5万人以上の感染者を出し、多くの感染者が医療にかかれず、人口あたりのコロナ死亡者数は「大阪府が全国ワースト1位」です。 失政によって失われた命は、もう戻りません。 つまらない議論ではなく、府民の生命・健康を最優先して下さい。 web.sapmed.ac.jp/canmol/coronav…
227
冒頭の「この方」とは、神戸の訪問看護師である藤田さんが、ある一日の終わりに訪問看護した「基礎疾患のある30歳代のコロナ自宅療養者」です。 「コロナ患者が、自宅に放置され、入院できず、苦しみながら死線をさまよう」という悲惨な事実を絶対に繰り返してはなりません。 twitter.com/canchemistry/s…
228
「コロナで自宅待機(自宅療養)、健康状態は保健所で管理」は最悪の組み合わせです。事実、「療養期間に保健所は何もしてくれなかった」という苦痛の叫びが多く聞かれました。 国・自治体は、コロナに罹った全員に医療を提供し、生命を守る義務があります。 記事はこちら↓ www3.nhk.or.jp/news/html/2021…
229
この方が入院後に亡くなったことを知りました。残念で心苦しいことです。その背景には「報道されない何千もの犠牲」があるのです。 何度も書きますが、コロナに罹れば「誰もが医療を受けられる」のがあるべき姿です。 国・自治体が「病床が余っていないから仕方なく在宅で」と言うのは、責任回避です。
230
(参考)「検査抑制論を言い出したのは誰か?」について、「PCR検査を抑制していたのは厚労省だったという『内部文書』が示された」ということです。 この情報が正しければ、厚生労働省は『国民の生命・健康を損なった、最低最悪の裏切り者』との批判を免れないでしょう。 twitter.com/canchemistry/s…
231
(参考)いわゆる「37.5℃4日以上ルール」は、「国民の誤解」ではなく、「れっきとした政府方針であった」というファクトチェックです。 このように、厚生労働省は、一貫して『検査抑制論』であり、都合が悪くなると『そんな意図は無かった』と嘘をつくというのが事実です。 twitter.com/canchemistry/s…
232
(参考)いわゆる「37.5℃4日以上ルール」というPCR検査基準は、専門家会議に示された原案(2020/2/16)には無く、それを付け加えた(2020/2/17)のは厚労省との指摘です。 それが正しいとすると、『厚生労働省が第1波とそれに続くコロナ被害を拡大した』と言えるでしょう。 twitter.com/canchemistry/s…
233
(参考)厚生労働省の悪行を以下にツリー化しますので、ご参考下さい。 昨年7月に、空港検疫が「PCR検査から抗原検査」に変更されましたが、「その結果が変異種の国内流入では?」という指摘に、厚生労働省幹部は「抗原検査で『すり抜け』が起きるのは想定内」としています。 twitter.com/canchemistry/s…
234
いわゆるインド株は、「風疹並みの強い感染力」と「免疫回避能力」により、これまでアジア人を守ってきた「ファクターX」を打ち消す可能性があります。 インドは4月に「1日あたりの新規感染者が30万人」を超え、世界最多を更新しました。 この夏、日本の惨事は不可避です。 twitter.com/canchemistry/s…
235
何度も書きますが、R(再生算数)が5~6とは「風疹」並の感染力であり、「マスク・手洗い」では感染を防ぐことが困難です。 このままでは、病院・福祉施設・学校でクラスターが多発し、多くの人が犠牲になります。 本当に、ロックダウン(人流の大幅な制限)しかありません。 twitter.com/canchemistry/s…
236
6月下旬に緊急事態宣言を解除すれば、ほどなく感染は再拡大し、8月に大きな感染ピークが来るとの予測です。 「五輪を開催したいがために」緊急事態宣言を解除するのは愚の骨頂、解除どころかロックダウンを実施すべきです。 もちろん五輪は中止しかありません。 twitter.com/Invesdoctor/st…
237
いわゆるインド株のR(再生産数)は、おそらく6を超えるとのことです。緊急事態宣言を解除すればリバウンドは必定で、それどころか、今すぐロックダウンが必要なレベルです。本当に五輪どころではありません。五輪は今すぐ中止、そのリソースをすべてコロナ対策・変異株対策に集中すべきです。 twitter.com/DrZoeHyde/stat…
238
@wishforpeace22 この中国のような「徹底的に社会的検査、感染者を発見して保護」が、世界標準に近いと思います。 どうして日本は、①防疫はザル、②変異株が流入しても「まだ広がっていない」と現実逃避、③社会的検査をする自治体には嫌がらせ、④緊急事態宣言は出し渋り、⑤なのに五輪は絶対開催、なのでしょうか。
239
大阪府への意見は、電話でも可能です。 ・第4波の前に「緊急事態宣言の早期解除」「まん防の効果見極めという時間の浪費」「緊急事態宣言要請の遅れ」「重症病床の削減」により、多くの死亡者を出した反省を! ・人流の削減を! ・学校は休校を! ・インド株に最大の警戒を! pref.osaka.lg.jp/fumin/fusei_ik…
240
ドイツのSWR(放送局)で、概要が紹介されています。 ・ウルム大学のStefan Kochanek教授らは、アストラゼネカワクチン(3バッチ)を分析 ・ワクチン由来ではないタンパク質を発見 ・その半分以上がヒト由来 ・品質コントロールが明らかに不十分 ・不純物を除去する必要がある swr.de/swraktuell/bad…
241
紹介の論文では ・ChAdOx1 nCov-19 ワクチンを分析 ・アデノウイルスベクター、ヒト蛋白質、非構造ウイルス蛋白質を検出 ・ヒト蛋白質では、熱ショック蛋白質、細胞骨格蛋白質が多い ・これらの不純物が、副反応に関連している可能性 と指摘されています。 論文はこちら(↓) assets.researchsquare.com/files/rs-47796…
242
大阪府に意見を送付下さい ・第4波の前に「緊急事態宣言の早期解除」「まん防の効果見極めという時間の浪費」「緊急事態宣言要請の遅れ」「重症病床の削減」により、「多くの死亡者」を出したことへの反省を! ・人流の削減を! ・学校は休校を! ・インド株に最大の警戒を! shinsei.pref.osaka.lg.jp/ers/input?tetu…
243
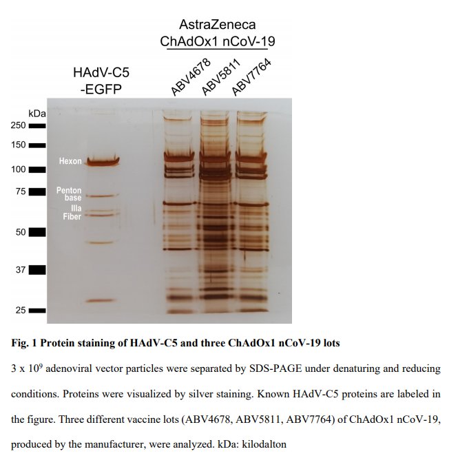
AZ(アストラゼネカ)ワクチンの、当初承認内容と、実際のワクチンの分析結果の比較です。 特にABV5811で「承認内容に含まれていない不明物質」のバンドが多く、本当に「何が入っているのか分からない」状態となっています。 AZでは血栓が出来やすいと指摘されていますが、関係があるかも知れません。 twitter.com/ramos262740691…
244
東大阪市の救命救急センターへの密着で ・たらい回しされた交通事故の重傷者の事例 ・SpO2が80%のコロナ陰性患者の対応が遅れ、搬送後3時間で死亡 ・救急要請13件のうち、8件は断るという異常事態 が紹介されています。 「医療崩壊では、コロナ以外も助からない」のです。 www3.nhk.or.jp/news/html/2021…
245
「大阪府はベッド不足・スタッフの不足に1年間何もしてこなかった」は大阪府看護師労働組合の小松康則委員長の指摘です。 また、保健所はコロナ感染者が多すぎて自宅療養以外の提供ができていない、介護施設のスタッフはワクチンを接種できていない、など指摘されています。 theguardian.com/world/2021/may…
246
イギリスのGurdian紙も大阪の医療崩壊(Hospitals overwhelmed)を取り上げ ・病院の病床がパンク、多くが自宅療養・入院待ち ・「入院できずに死亡」が多い ・ワクチン接種が遅い ・大阪府は「ベッド不足」「スタッフの不足」に1年間何もしてこなかった と指摘しています。 theguardian.com/world/2021/may…
247
Reutersのインタビューに、近畿大学病院の東田有智院長は ・「(政府は)コロナウイルスに打ち勝った証としての五輪」などと言っているが、現時点で全く打ち勝っていない ・医学的に最重要なことは、感染者数の抑制 ・人流を抑制し、人が集まらないようにすべき と「五輪への反対」を示唆しています。
248
Reutersも「大阪府の医療崩壊(Osaka city crumples)」を取り上げ、「医療システムは崩壊」「日本の9%の人口なのに死亡者は1/3と多すぎる」「入院率は14%と低く、自宅療養者が多すぎる」「医療従事者は疲弊しきっている」として、「次はインド株の蔓延だ」と警告しています。 reuters.com/world/asia-pac…
249
第4波で「かつてない医療危機」の大阪府は、「400人以上の重症患者は想定外だったから」としていますが ・菅政権に忖度、「緊急事態宣言」の要請遅れ ・「まん防の効果を見極める」として時間を浪費 ・病床を拡充せず逆に削減 ・早期検査の不足 という大阪府知事の責任です。 ktv.jp/news/feature/2…
250
首相官邸に意見を送付下さい。 ・「マスクをしていれば濃厚接触者としない」の撤廃を!マスク有りでも全員検査を! ・「非濃厚接触者」も検査を! ・「クラスター・医療・福祉・仕事関係」では、マスク有りでも全員検査を! ・「接触時飲食あり」「飲食店舗」も全員検査を! kantei.go.jp/jp/forms/goike…