いまだに「医療崩壊の原因は、コロナを診療する病院を絞っているからでしょ」みたいな意見がありますが、現在の重症者数は大阪府のICUベッド総数の半分近くに到達しています。これ以上増えるとなると、もはや人工呼吸器を装着する患者の選別が必要になります。
「重症患者」がイメージできない人が、約半数とのこと。酸素を吸っている患者は、重症ではなく中等症です。
「あのね、救急車内で亡くなるなんてあってはならないんですよ。たらい回しがあったら、できるだけ引き受けてあげてほしい。人的・物的資源が足りなくて十分な医療が提供できなくても、それでも病院で死ぬほうが遥かにましだよ」と院長が言ったので、結構尊敬した。
大阪府でコロナと戦う医療従事者の皆さん。ゴールデンウィークまでは、過去最大の波、そして医療崩壊と戦う期間になります。1日1200人規模の新規感染者の酸素飽和度が下がって入院してくるのは今週末〜来週です。第4波のピークアウトを信じて、一緒に乗り切りましょう。
大阪府のCOVID-19重症患者数のシミュレーションが結構ドンピシャ。この予測によると、地獄の頂点は5月4日になる。
当初ワクチンの副反応を懸念していた看護師が多かったのですが、職場でワクチン希望者を再度募ったところ、希望者が殺到。副反応がどうとか言ってられない事態を目の当たりにしていますからね。
ベストを尽くさねばという気持ちは痛いほど分かるのですが、この災害級の事態で、腹臥位療法をしないといって責められるものではないです。大阪府で、人工呼吸器装着を諦めざるを得ない施設がチラホラ施設が出てきました。 うつ伏せにするだけで「8人の看護師」が必要 news.yahoo.co.jp/articles/a6a09…
大阪府内、重症COVID-19を診ている病院と、市中で軽症中等症COVID-19を診ている病院で結構温度差があります。軽症中等症は入院中に重症化しても現状転院させられないので、看護師のマンパワーが相対的に枯渇してしまうのです。軽症中等症が満床にならない理由は、これです。
大阪府や受入病院の失態ではなく、第3波までの重症化率と患者増加速度の経験則が、第4波では通用しなかっただけです。ワクチン問題はクリアできませんし、GWでいったんおさまっても、7~8月に想定される第5波はさらに大きくなる可能性があるので、行政は病床の対策を急がねばなりません。
ホテルに酸素濃縮器を設置するという苦肉の策に走らなければならない状況ですが、第4波は痛みを伴いつつギリギリしのげると信じています。ただ、自宅療養者とホテル療養者からのクレームはかなりのものなので、どうにか医療従事者を守る指針が欲しいです。医療を受ける優先順位付けの指針です。
先週、自宅療養中のCOVID-19患者の救急要請に対し、救急車内で長時間待たされる事例が大阪府で発生したことが報道された。今週は、救急車を要請したものの搬送先が決まらず、やむなく自宅待機継続となり、救急隊が署内から入院フォローアップセンターに「どうにかしてほしい」と懇願する事例が多発。
搬送先が決まらないので、救急隊は一旦帰るしかなく(搬送不可である旨は書面でサイン頂く)、別の非コロナ患者の搬送にあたらざるを得ない。人工呼吸器装着希望なしの患者はすぐに入院できるが、人工呼吸器装着希望ありの患者は断られる(重症病床に転院できないため)。救急医療として、敗北である。
インドの首都近郊の病院では、病院で酸素が枯渇し呼吸不全患者が大量に死亡している。予後改善が見込めない患者では、酸素打ち切りの決定も。 bbc.com/japanese/56855…
保健所や大阪府入院フォローアップセンターに電話がつながらず、救急車も全く搬送できない状況のため、ネットでコロナ病床のある病院を調べて、COVID-19患者が病院側と入院について直接交渉し始めています。さすがにコレは、まずいのでは。
大阪市消防局救急隊員「救急車で待機する患者さんが10人いると『順番待ちです』と言う。もう救急じゃない」 「もう救急じゃない」医療体制のひっ迫続く大阪の現役救急隊員が語る現状 | 関西のニュース | 報道ランナー | ニュース | 関西テレビ放送 カンテレ ktv.jp/news/articles/…
大阪府COVID-19概況。軽症中等症病床使用率100%が迫る。一般病床になだれ込むリスクが高い。救急医療は厳しく、目を覆う事例も。 ■重症病床患者数282人(+待機65人)(実運用/稼働可能ベース使用率:98.3%/98.3%) ■軽症中等症病床患者数1531人(実運用/稼働可能ベース使用率:83.7%/83.7%)
COVID-19は、大阪府入院フォローアップセンターが絞りに絞った症例しかもはや入院できないので、大阪府下の中等症病床は「ARDS病棟」化しつつあります。挿管の閾値を上げなければいけませんので、周辺の病院もネーザルハイフローかオキシマイザー・リザーバーマスクで乗り切る作戦に切り替えています。 twitter.com/invesdoctor/st…
大阪府新規感染者数がややピークアウト気味ではありますが、早くてあと数日で入院できないホテル療養者が確実に出てきます。大阪府の確保病床、重症病床288床は実質満床、軽症中等症病床は1834床のうち1597床稼働(使用率87.1%)、ホテル療養者は毎日100人ずつ増えています(現在1729人)。
医療崩壊とは、急性期(救急医療など)から慢性期(がん診療など)までの診療が立ちゆかなくなることだと思っているのですが、非COVID-19患者の救急搬送が滞り、大阪府内のがんセンターで診療縮小が余儀なくされた事実を、重く受けて止めている。
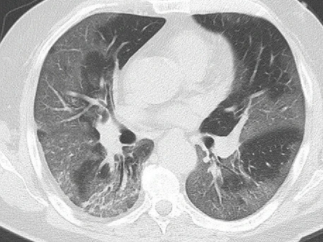
ここ1週間の大阪、1年前のCOVID-19パンデミック早期によく観察された、まりもみたいなOPパターンをすっ飛ばして「おしろいを塗りたくったような不気味な両肺すりガラス陰影」が大半です。初期は鼻カニュラでどうにか酸素化を維持できますが、この後浸潤影になり換気できる肺胞が急速に減少します。
やはり、これが律速段階なのだろう。
大阪府のコロナ病床、 地獄のピークです。 ピークなのかどうかも分からない…
3日前にCOVID-19を挿管、夜搬送して、2日前に別患者を挿管し、さらに昨日に別患者を挿管し、今から別患者を挿管。大阪府重症病床は数え切れないくらい待ちが発生していて、転院は不可能。大阪府から「覚悟を決めてください」と言われた。ARDSにここまで連日挿管するのは、呼吸器内科医人生で初です。
明言はしていませんが、70歳以上の挿管・人工呼吸器の重症例が重症病床への転院するのはかなり厳しい。50歳代以下なら可能かも。さらに、FiO2が1.0やノルアドレナリンなどの循環作動薬が持続で入っている症例も移動リスクが高いと断られる。結局、超重症は転院できない状況。
大阪府入院フォローアップセンターの人手が足りておらず、転院するにしても重症病床と直接やりとりしてほしいと丸投げされるケースが増えてきた。そのため、重症病床が「予後不良な70歳以上はウチでは診ません」といえば、それ以上返す言葉はないのだ。