2022年 大村グランプリ フライングをしてしまい、 応援してくださるファンの方々、 そして関係者の皆様に多大な ご迷惑をおかけしてしまいました。 本当に申し訳ありませんでした この現実を受け止め 2023年全てを見直し 1から頑張りたいと思います。 今年もご声援ありがとうございました!
鳴門G1連続優勝🏆🏆 みなさんたくさんのご声援ありがとうございました😭😭 この流れに乗って次のオールスターも 頑張りたいと思います!!🔥
ジムに行くとこんなメッセージが!!😭😭😭 ありがとう!!
グランプリたくさんのご声援 ありがとうございました!  避けきれなかったです。 申し訳ないです。 不幸中の幸いですが 大きな怪我はしていないです。 気持ちの整理が難しいですが、 また来年に向けて1から取り組んで 行きたいと思います。
G1優勝やりました!! みなさんたくさんのご声援ありがとうございました😊
SGボートレースメモリアル たくさんのご声援ありがとうございました😊 出場できないと思っていた大会に 出場する事ができ、SGで優勝戦に乗ることができました! また次のレースに向け、 リハビリ、トレーニング、心と体のケア しっかりとやっていきます! #みなさん本当にありがとう #マルトレ
皆様にご報告があります😭😌
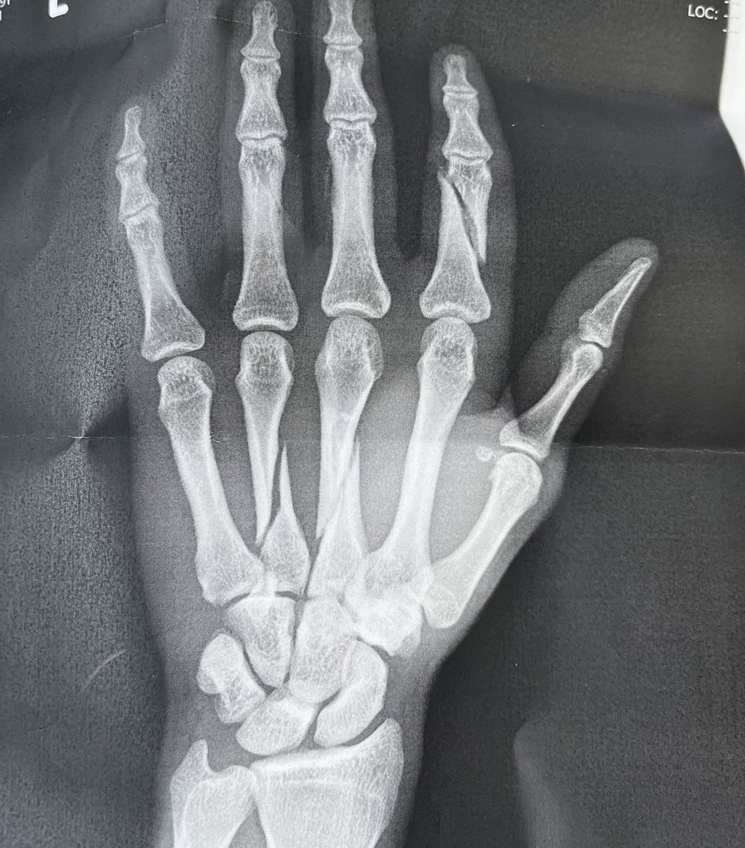
ボルト3本×3本×2本 入れました! 少し疲れました! 皆さんたくさんのメッセージ ありがとうございました😭
皆さんたくさんのコメント 本当にありがとうございます。 左第二基節骨 第三第四中手骨骨折でした この手が守ってくれなかったらもっと大きな怪我になっていたかもしれないので守ってくれた左手に感謝です。 今の現状です。 写真不快に思われた方はすみません。 復帰に向けて一歩一歩頑張ります。 twitter.com/maru4686/statu…
SGドリーム戦を楽しみにしていた皆様へ
若松G1優勝できました! 本当に嬉しい優勝でした! たくさんのご声援 ありがとうございました😊
G1尼崎センプルカップ たくさんのご声援ありがとうございました😊 優勝する事ができました!!🏅 2021年も突っ走ります!!
《びわこボート》 皆さん!!新しいターンマーク位置での模擬レース やってきましたよ! 6コース最内差し 感想は、めちゃくちゃ遠い!! 今までびわこの6コース好きだったが、これからはめちゃくちゃ難しくなるんじゃないかなあと思います!💧 今までみたいに6コースがよく絡むびわこは無くなるかも!
《GoPro撮影モンキーターン》 ボートにGoProを二つ付けて撮影してみました! このような見え方でボートに乗ってますよ😁 2画面は初めてだと思います^ ^ #ボートレース #モンキーターン #丸野一樹
自分のターンをGoProで撮影!🕺 こんな風に乗艇しています。 #丸野一樹
私事ではありますが、 昨日の東スポの報道であった通り、 9月13日に元タレントの藤井奈々さんと入籍いたしました。 これからは守るべきものもでき、ボートレーサーとしてもっと精進していきます。 まだまだ未熟な2人ですが、力を合わせ笑顔の絶えない家庭を築いていきたいと思っています。