繋げとくんじゃ 1年後も脳卒中のリスクあがるんよ twitter.com/stroke_nobu/st…
コロナが脳卒中のリスクってのはもっと広まって欲しいのぅ…
なぜかくも膜下出血や脳梗塞といった脳卒中がワクチンのせいにされとるんじゃが、コロナの場合感染したら1年後も脳卒中のリスクあがっとるとNature Medicineにでとるんよ 罹患した人みんな気をつけるんじゃよ…わしもじゃ twitter.com/stroke_nobu/st…
コロナ感染後1年経った脳卒中…もう関係ないでしょって言っている人はヤブ医者、という話じゃ #論文マラソン(残り690/723) コロナは感染後1年たっても脳卒中のリスクだよ、という話 stroke-nobu.blogspot.com/2022/11/blog-p…
しゃべりがへん!(うまくしゃべれない) かおがへん!(口がへの字にさがる) 手足がへん!(手足がうまく動かない) こんな時はとっとと救急車よべぃ!! 脳卒中は時間が勝負じゃ! 間違っても様子はみるなぁ。 4.5時間以内が勝負じゃ。 過ぎても間に合うこともあるけど急げぇ!
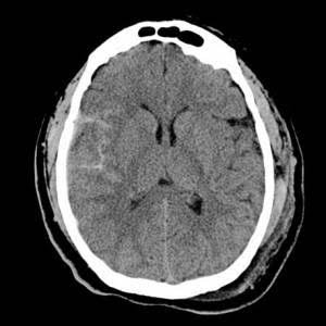
合コンの時医者か確認したかったらこの画像をみせて、このひとの脳綺麗ですよね!!っていうとええんよ ほんとだーしか言わんかったらそいつはヤブじゃ付き合わん方がいい
脳梗塞の治療薬t-PAは4.5時間以内じゃないと使えないんよ(使える場合もあるんじゃ) 救急車の受け入れ先に時間かかるということは、そういった治療が時間切れになる可能性があるって事なんよ…
椎骨動脈解離は、ゴルフやテニスなどのスポーツ中や、何か物取ったりするときに急に首を動かす動作でも起こるんよ 気をつけて、そしてお大事にのぅ…
保存的に治療をしているので、今回は出血はなかったんじゃろ… ただ、裂けた動脈が形を変えていく段階で詰まってしまったりする可能性も0ではないので、しばらく注意が必要なんじゃ…
実際の病名は解離じゃ 首の動脈が裂けて激しい後頭部・後頚部痛になるんよ 見逃されてしまうこともある、場合によってはくも膜下出血や脳梗塞になり死にいたることもある怖い病気じゃ お名前借りている身としても、ファンとしても、ご無事である事を、只々祈るんよ… news.yahoo.co.jp/articles/93204…
脳卒中で一般家庭に浸透して欲しいのがFASTの考え方じゃ。F(Face)A(Arm)S(Speech)T(Time)といって、顔、手(足)、喋り方のどれかがおかしければすぐに救急車を呼ぶんじゃ。 卒中は時間との勝負じゃ。 人間、正常性バイアスで様子見をしがちなのを、如何に迅速に救急車を呼んでもらうかが肝要なんじゃ。